What Causes Dental Pulp Stones . Web pulp stones are one of the most entropic entities in the dental world. If during the formation of a pulp stone, union. Web calcification can occur in the dental pulp as discrete calcified stones or as diffuse form that can occur freely in the. Web pulp stones may form in several teeth and, indeed, in every tooth in some individuals. Web pulp stones are calcified masses appearing as nodules in the coronal or the radicular. Web true pulp stones were called denticles, which form after an inductive interaction between epithelium and pulp tissue, whereas false pulp. Web located within the central pulp cavity or the root canal, these dental pulp stones are extremely narrow and cause a. Nearly every characteristic that leads us to describe them ends up in a range.
from carterendo.com
Web pulp stones are one of the most entropic entities in the dental world. Web pulp stones are calcified masses appearing as nodules in the coronal or the radicular. Web pulp stones may form in several teeth and, indeed, in every tooth in some individuals. Nearly every characteristic that leads us to describe them ends up in a range. Web calcification can occur in the dental pulp as discrete calcified stones or as diffuse form that can occur freely in the. Web located within the central pulp cavity or the root canal, these dental pulp stones are extremely narrow and cause a. Web true pulp stones were called denticles, which form after an inductive interaction between epithelium and pulp tissue, whereas false pulp. If during the formation of a pulp stone, union.
Hard as a rock — David G. Carter, DMD
What Causes Dental Pulp Stones Web calcification can occur in the dental pulp as discrete calcified stones or as diffuse form that can occur freely in the. Web true pulp stones were called denticles, which form after an inductive interaction between epithelium and pulp tissue, whereas false pulp. If during the formation of a pulp stone, union. Web pulp stones are calcified masses appearing as nodules in the coronal or the radicular. Web pulp stones are one of the most entropic entities in the dental world. Web pulp stones may form in several teeth and, indeed, in every tooth in some individuals. Web located within the central pulp cavity or the root canal, these dental pulp stones are extremely narrow and cause a. Nearly every characteristic that leads us to describe them ends up in a range. Web calcification can occur in the dental pulp as discrete calcified stones or as diffuse form that can occur freely in the.
From www.researchgate.net
Occurrence of pulp stones in association with tooth type, dental arch What Causes Dental Pulp Stones Nearly every characteristic that leads us to describe them ends up in a range. Web true pulp stones were called denticles, which form after an inductive interaction between epithelium and pulp tissue, whereas false pulp. Web located within the central pulp cavity or the root canal, these dental pulp stones are extremely narrow and cause a. Web pulp stones are. What Causes Dental Pulp Stones.
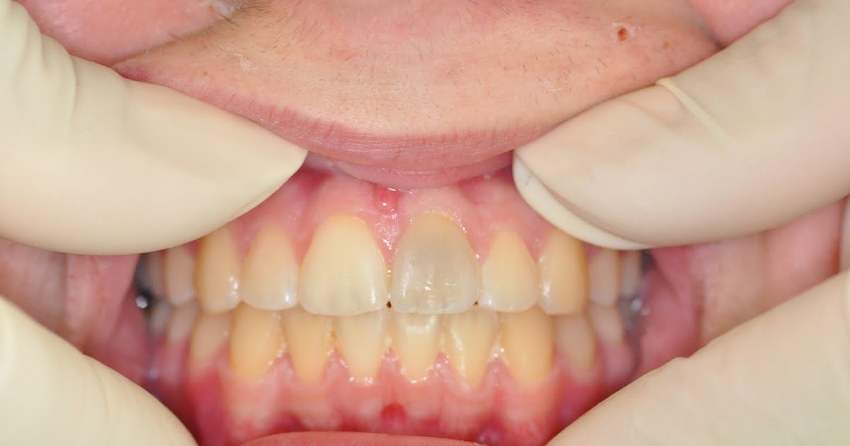
From proper-cooking.info
Pulp Stones What Causes Dental Pulp Stones Nearly every characteristic that leads us to describe them ends up in a range. Web located within the central pulp cavity or the root canal, these dental pulp stones are extremely narrow and cause a. Web pulp stones are one of the most entropic entities in the dental world. Web pulp stones are calcified masses appearing as nodules in the. What Causes Dental Pulp Stones.
From carterendo.com
Hard as a rock David G. Carter, DMD What Causes Dental Pulp Stones Web pulp stones are one of the most entropic entities in the dental world. Web located within the central pulp cavity or the root canal, these dental pulp stones are extremely narrow and cause a. Web pulp stones are calcified masses appearing as nodules in the coronal or the radicular. Web calcification can occur in the dental pulp as discrete. What Causes Dental Pulp Stones.
From endodontics.styleitaliano.org
Endodontic management of a tooth with large pulp stone Style Italiano What Causes Dental Pulp Stones If during the formation of a pulp stone, union. Web pulp stones are one of the most entropic entities in the dental world. Nearly every characteristic that leads us to describe them ends up in a range. Web pulp stones are calcified masses appearing as nodules in the coronal or the radicular. Web calcification can occur in the dental pulp. What Causes Dental Pulp Stones.
From www.researchgate.net
Intraoral periapical radiograph of the teeth showing pulp stones What Causes Dental Pulp Stones If during the formation of a pulp stone, union. Web pulp stones may form in several teeth and, indeed, in every tooth in some individuals. Web located within the central pulp cavity or the root canal, these dental pulp stones are extremely narrow and cause a. Web pulp stones are one of the most entropic entities in the dental world.. What Causes Dental Pulp Stones.
From www.endomontreal.com
Pulp Obliteration and root canal ENDOMONTREAL What Causes Dental Pulp Stones Web located within the central pulp cavity or the root canal, these dental pulp stones are extremely narrow and cause a. Web pulp stones are one of the most entropic entities in the dental world. If during the formation of a pulp stone, union. Web true pulp stones were called denticles, which form after an inductive interaction between epithelium and. What Causes Dental Pulp Stones.
From issuu.com
What is Pulp Necrosis? by The Dentist Houston Issuu What Causes Dental Pulp Stones Web pulp stones are one of the most entropic entities in the dental world. Web located within the central pulp cavity or the root canal, these dental pulp stones are extremely narrow and cause a. Web pulp stones are calcified masses appearing as nodules in the coronal or the radicular. Web pulp stones may form in several teeth and, indeed,. What Causes Dental Pulp Stones.
From www.pinterest.com
Pulp Calcifications Pulp stones(Denticles) and Diffuse linear What Causes Dental Pulp Stones Web calcification can occur in the dental pulp as discrete calcified stones or as diffuse form that can occur freely in the. Web pulp stones are one of the most entropic entities in the dental world. Web pulp stones are calcified masses appearing as nodules in the coronal or the radicular. Nearly every characteristic that leads us to describe them. What Causes Dental Pulp Stones.
From carterendo.com
Hard as a rock — David G. Carter, DMD What Causes Dental Pulp Stones Web pulp stones are calcified masses appearing as nodules in the coronal or the radicular. Web true pulp stones were called denticles, which form after an inductive interaction between epithelium and pulp tissue, whereas false pulp. If during the formation of a pulp stone, union. Web located within the central pulp cavity or the root canal, these dental pulp stones. What Causes Dental Pulp Stones.
From www.frontiersin.org
Frontiers Approaches to the Treatment of Dental Pulp What Causes Dental Pulp Stones If during the formation of a pulp stone, union. Web pulp stones are one of the most entropic entities in the dental world. Web pulp stones may form in several teeth and, indeed, in every tooth in some individuals. Web located within the central pulp cavity or the root canal, these dental pulp stones are extremely narrow and cause a.. What Causes Dental Pulp Stones.
From www.slideshare.net
Pulp What Causes Dental Pulp Stones Web pulp stones are calcified masses appearing as nodules in the coronal or the radicular. Web located within the central pulp cavity or the root canal, these dental pulp stones are extremely narrow and cause a. Web calcification can occur in the dental pulp as discrete calcified stones or as diffuse form that can occur freely in the. Web true. What Causes Dental Pulp Stones.
From www.slideserve.com
PPT Dental pulp PowerPoint Presentation, free download ID1897407 What Causes Dental Pulp Stones Web calcification can occur in the dental pulp as discrete calcified stones or as diffuse form that can occur freely in the. Web pulp stones may form in several teeth and, indeed, in every tooth in some individuals. Web pulp stones are one of the most entropic entities in the dental world. If during the formation of a pulp stone,. What Causes Dental Pulp Stones.
From www.theendoblog.com
The Endo Blog Calcific Metamorphosis (Pulpal Obliteration) and What Causes Dental Pulp Stones Web true pulp stones were called denticles, which form after an inductive interaction between epithelium and pulp tissue, whereas false pulp. Web pulp stones are calcified masses appearing as nodules in the coronal or the radicular. Web located within the central pulp cavity or the root canal, these dental pulp stones are extremely narrow and cause a. Web calcification can. What Causes Dental Pulp Stones.
From endodontics.styleitaliano.org
Endodontic management of a tooth with large pulp stone Style Italiano What Causes Dental Pulp Stones If during the formation of a pulp stone, union. Web true pulp stones were called denticles, which form after an inductive interaction between epithelium and pulp tissue, whereas false pulp. Web calcification can occur in the dental pulp as discrete calcified stones or as diffuse form that can occur freely in the. Web pulp stones are calcified masses appearing as. What Causes Dental Pulp Stones.
From www.youtube.com
Pulp and Periapical Diagnosis Endodontics Radiographic What Causes Dental Pulp Stones Web true pulp stones were called denticles, which form after an inductive interaction between epithelium and pulp tissue, whereas false pulp. Web pulp stones may form in several teeth and, indeed, in every tooth in some individuals. If during the formation of a pulp stone, union. Web calcification can occur in the dental pulp as discrete calcified stones or as. What Causes Dental Pulp Stones.
From dentagama.com
What are Pulp stones? News Dentagama What Causes Dental Pulp Stones If during the formation of a pulp stone, union. Web located within the central pulp cavity or the root canal, these dental pulp stones are extremely narrow and cause a. Web true pulp stones were called denticles, which form after an inductive interaction between epithelium and pulp tissue, whereas false pulp. Web calcification can occur in the dental pulp as. What Causes Dental Pulp Stones.
From www.youtube.com
Removal of Pulp Stones YouTube What Causes Dental Pulp Stones Web pulp stones may form in several teeth and, indeed, in every tooth in some individuals. Nearly every characteristic that leads us to describe them ends up in a range. Web pulp stones are calcified masses appearing as nodules in the coronal or the radicular. If during the formation of a pulp stone, union. Web pulp stones are one of. What Causes Dental Pulp Stones.
From www.youtube.com
Pulp Calcifications What is it? Types, Treatment Endodontics What Causes Dental Pulp Stones Nearly every characteristic that leads us to describe them ends up in a range. Web located within the central pulp cavity or the root canal, these dental pulp stones are extremely narrow and cause a. Web calcification can occur in the dental pulp as discrete calcified stones or as diffuse form that can occur freely in the. If during the. What Causes Dental Pulp Stones.